5 Star Dentists

Advanced Laser Dentistry Procedures

5 Star Dentists in Houston and Sugar Land, TX, offers comprehensive laser dentistry treatments to treat a variety of dental problems, including:

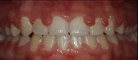
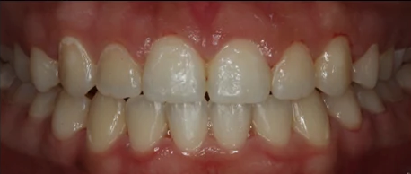
Gummy Smile Treatment (Gingivectomy)

The special laser allows the dentist to correct your gum tissues without the use of a scalpel or sutures. This allows for a more comfortable procedure and more predictable results.

Laser Assisted Periodontal Therapy (LAPT)

This form of laser therapy is used to enhance conventional root planning and scaling techniques to minimize the size of pockets between gums. The laser allows for easier access to deeper calculus deposits and targets only the tissues affected by necrosis, while avoiding the healthy tissues. This enhances the comfort level for the patient and allows for faster healing time.

Frenectomy

This procedure allows for the removal of the maxillary and/or mandibular frenums. These are the small muscular attachments inside your cheeks and lips. The 2 main ones are the labial frenum and lingual frenum.

A laser permits us to alter the frenums without causing bleeding or the need for sutures. This procedure helps to correct complications caused by the frenums, such as impaired speech, difficulty chewing, a large gap between your front teeth, and gum recession. A frenectomy also helps to reduce oral discomfort, improve facial appearance and enhance bite function.

Operculectomy

A specialized laser allows us to easily remove tissue that is covering a partially erupted posterior molar – also known as a wisdom tooth. This helps to minimize the chances of decay or gum disease that can occur, since these teeth are more prone to infection.

Benefits

Laser dentistry offers a number of benefits:

  • Negates the need for sutures (stitches)
  • Minimizes the need for anesthesia
  • Cuts down on bleeding that can occur during surgery
  • Improves healing time
  • Reduces the chances of bacterial infections
  • Enhances patient comfort

Contact 5 Star Dentists to learn more about laser dentistry.

Get In Touch

Rate, Review & Explore

Sugar Land Office

13440 University Blvd
Ste 190
Sugar Land, TX 77479

Open Today 8:00am - 12:00pm

Open the first Saturday of the month Open the 2nd and 4th Tuesday of the month

More Info Directions (832) 944-6744

Fresno Office

12125 Highway 6
Ste D
Fresno, TX 77545

Open Today 9:00am - 5:00pm

Open the 2nd and 4th Saturday of Every Month

More Info Directions (281) 431-8909

Pasadena Office

3515 Spencer Hwy
Pasadena, TX 77504

Open Today 10:00am - 6:00pm

More Info Directions (713) 910-1010

Rosenberg Office

24200 Southwest Frwy
Ste 202
Rosenberg, TX 77471

Open Today 9:00am - 6:00pm

Saturday By Appointment

More Info Directions (281) 232-4446

Southwest / Stafford Office

11615 Southwest Freeway
Houston, TX 77031

Open Today 9:00am - 6:00pm

Saturday by Appointment

More Info Directions (281) 564-0117
Social Accounts Sprite