5 Star Dentists

Transform Your Smile with a Custom Smile Makeover

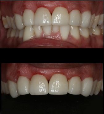
Are you unhappy with your smile due to stains, chips, cracks, or minor crowding or gapped teeth? Do you wish to achieve a symmetrical, luminous smile that meets your aesthetic goals? If any of these apply, you may be a good candidate for a smile makeover at 5 Star Dentists. Dr. Andrew Tran is a skilled cosmetic dentist who offers custom smile makeover treatments at his Houston and Sugar Land, TX, offices. He will strategically combine two or more cosmetic treatments to help you achieve the smile you desire. 

Female patient smiling after a smile makeover treatment.
A smile makeover can help you achieve the smile you desire

Smile Design and Planning

The initial consultation and subsequent treatment planning is a thorough process at 5 Star Dentists. Dr. Tran will create a plan based on diagnostic images that can lead to the most natural-looking and aesthetically pleasing results. During the first visit, Dr. Tran will listen to your concerns about your smile and note which aspects you wish to change.

During design and treatment planning, patients can review their expected results even before undergoing a single treatment, and make changes to it accordingly.

Next, Dr. Tran will take digital images using advanced technology, including cone beam CT scans and digital x-rays to aid in very precise planning. These images are used to create a digital mockup, which is used by our lab technician to create a wax model of your smile that reflects how the final cosmetic dentistry treatments will look.

Patients can review the expected results even before undergoing a single treatment, and make changes to it accordingly. Patients will need to have healthy teeth and gums before undergoing any cosmetic treatment. If necessary, Dr. Tran may perform periodontal therapy or decay treatment before beginning your smile makeover.

Custom Combination of Cosmetic Treatments

No two smile makeovers are the same. While some patients may require teeth whitening and dental bonding, other patients may require more extensive work to achieve the smile of their dreams. Depending on your treatment plan, your smile makeover could include:

Teeth Whitening: 5 Star Dentists offers ZOOM!® teeth whitening to significantly brighten your smile in just one office visit.

Porcelain VeneersPorcelain veneers can mask a range of cosmetic flaws such as chipped, cracked, or worn teeth and dramatically enhance the look of your smile.

Laser Gum Contouring: Using advanced laser technology, Dr. Tran can eliminate the appearance of a gummy smile and create a more balanced frame.

Invisalign®Invisalign® clear aligners can straighten your teeth gently, effectively, and discreetly. For complex cases, Dr. Tran also offers traditional braces to help you achieve a straighter smile.

Financing Your Treatment

Cosmetic treatments are generally not covered by dental insurance plans, and to make these treatments accessible to a wide range of patients, Dr. Tran accepts CareCredit® dental financing. CareCredit® helps you manage your out-of-pocket costs, allowing you to undergo the treatments you require to transform your smile.

Schedule Your Smile Makeover

If you are considering undergoing a smile makeover, the most important decision is the dentist you choose. Your dentist should have a keen eye for aesthetics and should be able to perform procedures with skill and precision. At 5 Star Dentists, we take the time to learn about our patients in order to provide the best dental care in a comfortable, friendly setting. To schedule your smile makeover consultation, call us at (832) 831-5417 or send us a message today.

Get In Touch

Rate, Review & Explore

Sugar Land Office

13440 University Blvd
Ste 190
Sugar Land, TX 77479

Open Today 8:00am - 12:00pm

Open the first Saturday of the month Open the 2nd and 4th Tuesday of the month

More Info Directions (832) 944-6744

Fresno Office

12125 Highway 6
Ste D
Fresno, TX 77545

Open Today 9:00am - 5:00pm

Open the 2nd and 4th Saturday of Every Month

More Info Directions (281) 431-8909

Pasadena Office

3515 Spencer Hwy
Pasadena, TX 77504

Open Today 10:00am - 6:00pm

More Info Directions (713) 910-1010

Rosenberg Office

24200 Southwest Frwy
Ste 202
Rosenberg, TX 77471

Open Today 9:00am - 6:00pm

Saturday By Appointment

More Info Directions (281) 232-4446

Southwest / Stafford Office

11615 Southwest Freeway
Houston, TX 77031

Open Today 9:00am - 6:00pm

Saturday by Appointment

More Info Directions (281) 564-0117
Social Accounts Sprite